10 Reasons on the importance of regular dental visits.
- Nov 12, 2025
- 3 min read
We all know the importance of brushing and flossing, but what about those regular visits to the dentist? They are the unsung heroes of your oral health journey! Skipping your 6 monthly check-up or dental hygiene might seem harmless, but you could be missing out on critical preventative care. In this post, we dive into 10 important reasons why booking those dental visits is one of the most important things you can do for your overall well-being and a dazzling, healthy smile.

Early detection of problems
Having regular dental visits allows dentists to detect any issues with your teeth such as: Oral cancer, gum disease, caries and cavities. The sooner this is spotted also makes the treatment easier and less expensive.

Gum disease prevention
Gingivitis and periodontal disease are extremely common and by having regular dental check ups will allow the dentist to spot this early and advise on the recommended dental treatment needed to avoid getting any worse.

Hygiene appointments
Regular hygiene appointments are crucial as this removes tartar build up as well as plaque. By having regular hygiene appointments, it lessens the risk of gum disease and cavities.

Maintain Fresh breath
Bacteria builds up in the mouth so regular professional cleanings are vital in preventing bacteria. Bacteria is the number one cause of bad breath.

More cost effective in the long run
Catching problems early through regular check-ups typically results in lower treatment costs compared to waiting until a problem becomes more severe. It also results in less invasive treatments eg smaller fillings if problems are caught earlier.

Professional personalised dental advice
Dentists can provide specialised tailored advice to patients on how to improve your oral hygiene habits, from brushing and flossing techniques to dietary recommendations that promote stronger and healthier teeth.

Overall health benefits
Not having regular dental check ups can also have a negative impact on your overall health, as poor oral health is linked to conditions like heart disease, stroke, respiratory infections, and diabetes.

X-Rays
X-rays are an important diagnostic tool that can detect underlying issues such as cavities between teeth, bone loss, or infections that are not visible during a regular examination.

Checking for jaw muscles and overbite.
Regular checks for jaw alignment and overbite in dentistry are critical because they prevent a cascade of serious oral and general health problems, including excessive tooth wear, jaw pain, gum disease, and difficulty speaking or chewing. Early detection and treatment can minimise the need for more complex and costly procedures later in life.

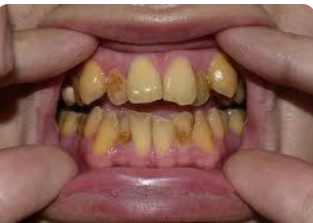
Yellow teeth & Staining
While some yellowing is a natural part of ageing (as the inner layer of yellowish dentin shows through thinning enamel), yellow teeth can also signal more serious health problem such as underlying medical conditions, dental trauma and poor oral hygiene. We can carry out stain removing treatments such as air flow polish.
Here at Best Health Clinics, we deal with a number of patients who may be worried or anxious to attend regular dental check ups. Our receptionists and dentists will put you at ease and take it slow to make sure you can have the best treatment possible.
If you have any further questions and would like to book in for a hygiene or dental checkup with us please feel free to Call us on 01708 477 577 or click online to book online.
-Best Health Clinics
























Comments